電話でのご予約・お問い合わせはTEL.089-974-0204
〒790-0044 愛媛県松山市余戸東4丁目1-1
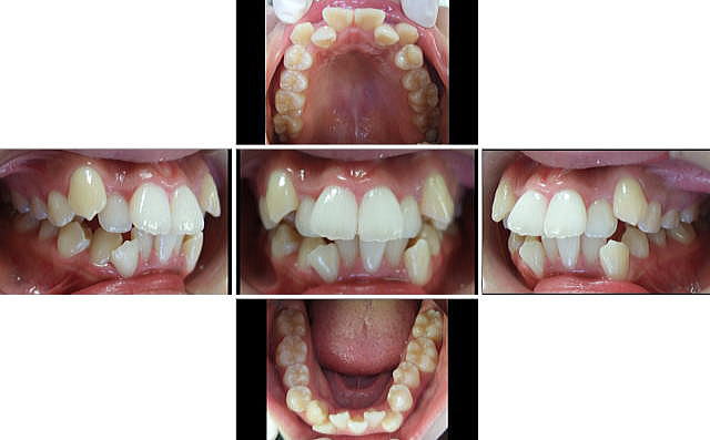
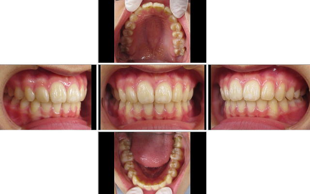
| DENマウスピースを始めたときの状況 |
| START年齢 | 22歳 |
| 性別 | 女性 |
| 主訴 | 上の前歯を治したい。下の前歯の歯列を綺麗に並べたい。 |
| 分類 | 叢生 |
| 経過年数 | 2年半 |
| 抜歯箇所 | 上下左右4番 |
| 矯正部位 | 上下顎矯正 |


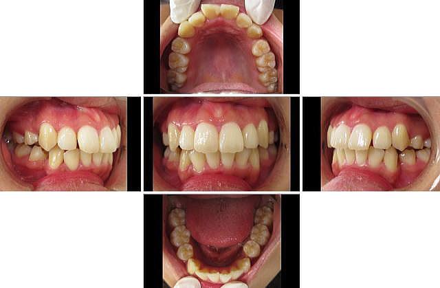
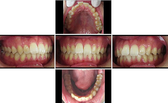
| DENマウスピースを始めたときの状況 |
| START年齢 | 21歳 |
| 性別 | 男性 |
| 主訴 | 上の前歯を内側に入れたい。下の前歯の段差を治したい。 |
| 分類 | 上顎前突 |
| 経過年数 | 8.5ヶ月 |
| 抜歯箇所 | なし |
| 矯正部位 | 上下顎矯正 |

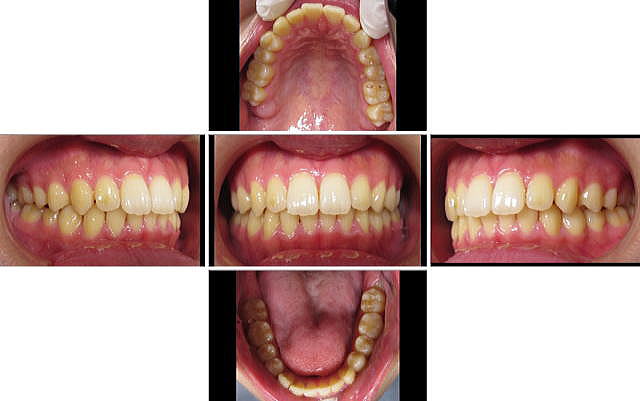
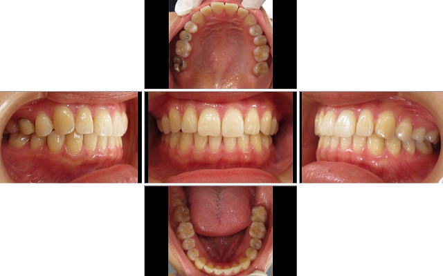
| DENマウスピースを始めたときの状況 |
| START年齢 | 22歳 |
| 性別 | 女性 |
| 主訴 | 上顎の前歯の隙間を埋めたい。 |
| 分類 | 空隙歯列 |
| 経過年数 | 1年7ヶ月 |
| 抜歯箇所 | なし |
| 矯正部位 | 上下顎矯正(開始から1年1ヶ月で上顎のみの矯正に移行) |

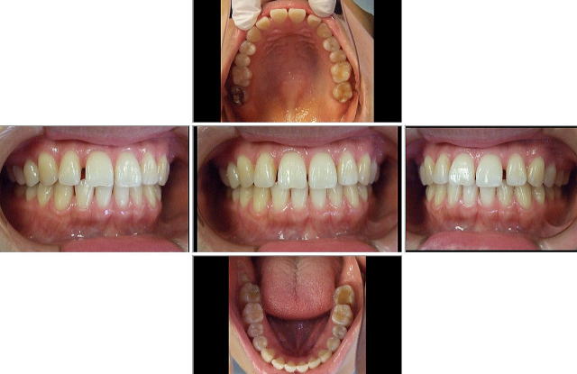
| DENマウスピースを始めたときの状況 |
| START年齢 | 12歳 |
| 性別 | 女性 |
| 主訴 | 上の前歯を内側に入れたい。下の前歯を綺麗に並べたい。 |
| 分類 | 開口 |
| 経過年数 | 1年4ヶ月 |
| 抜歯箇所 | なし |
| 矯正部位 | 上下顎矯正(開始から1年2ヶ月で上顎のみの矯正に移行) |

〒790-0044
愛媛県松山市余戸東4丁目1-1
TEL 089-974-0204